Article type: CME in Images
Article
title: Trigeminal neuralgia secondary to basilar artery dolichoectasia
Journal: Current Medical Issues
Year: 2018
Authors:
Jamir Pitton Rissardo, Ana Letícia Fornari Caprara
E-mail:
jamirrissardo@gmail.com
ABSTRACT
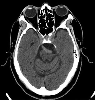
A 60‑year‑old male presented with progressively severe left
facial pain with 8 years of onset. The pain was stabbing on quality and
occurred in paroxysmal attacks in V2 and V3 trigeminal territories with
duration of approximately 30 s–1 min. He was previously healthy and his family
history was unremarkable. The neurological examination showed facial trigger
points in the left maxillary region. Furthermore, he said that brushing teeth
and shaving triggered pain. Laboratory tests were within the normal limits. A
noncontrast head computed tomography was requested.
Keywords: Trigeminal neuralgia, basilar artery, dolichoectasia
Full text available at:
DOI
10.4103/cmi.cmi_16_18
10.4103/cmi.cmi_16_18
Citation
Rissardo
JP, Caprara AL. Trigeminal neuralgia secondary to basilar artery dolichoectasia. Curr Med Issues 2018;16:103-4



